<

Nuestros Productos

Sistema ROD

Ver más

ROD es una solución integral diseñada para la gestión eficiente y efectiva de imágenes médicas en entornos radiológicos. Este sistema combina dos componentes esenciales: el RIS, que gestiona la información administrativa y operativa de los estudios radiológicos, y el PACS, que se encarga del almacenamiento, visualización y distribución de las imágenes radiológicas.

Además, ofrece una interfaz amigable y fácil de usar que permite a los profesionales de la salud acceder rápidamente a la información clínica y a las imágenes radiológicas de los pacientes. También, el sistema proporciona herramientas avanzadas de visualización y procesamiento de imágenes que permiten una interpretación precisa y detallada de los estudios radiológicos.

Una de las ventajas clave de ROD es su capacidad para integrarse con otros sistemas de información médica, como los sistemas de historias clínicas electrónicas (EHR), lo que facilita el intercambio de datos entre diferentes áreas y especialidades médicas. Además, el sistema cumple con los estándares de seguridad y privacidad más rigurosos para garantizar la confidencialidad y la integridad de los datos del paciente.

LogoRod
LogoRodP

Sistema ROD-PATHOLOGY

Ver más

Nuestro sistema de ROD | PATHOLOGY es una plataforma integral diseñada para facilitar la gestión eficiente y precisa de datos relacionados con el análisis y estudio de muestras patológicas en entornos médicos y de laboratorio. Este sistema proporciona una interfaz intuitiva y segura que permite a los usuarios registrar, almacenar y analizar información detallada sobre muestras, incluyendo datos del paciente, resultados de pruebas y diagnósticos.

Una de las características clave del sistema es su capacidad para gestionar grandes volúmenes de datos de manera eficiente, permitiendo a los usuarios realizar búsquedas rápidas y filtrar información según criterios específicos. Además, el sistema ofrece herramientas avanzadas de análisis y generación de informes que permiten a los profesionales de la salud identificar patrones, tendencias y correlaciones significativas en los datos.

ROD | PATHOLOGY cumple con los estándares de seguridad y privacidad más rigurosos, garantizando la confidencialidad y la integridad de los datos del paciente. Además, el sistema se puede integrar con otros sistemas de información médica para facilitar la interoperabilidad y el intercambio de datos entre diferentes áreas y especialidades médicas.

Módulos del sistema ROD


Modulo Recepcion
Módulo Recepción

El módulo de recepción, es el punto de entrada de los pacientes, en este apartado se lleva a cabo el proceso de bienvenida y registro de los pacientes. Los datos iniciales como la información personal del paciente, los datos de contacto e información de seguro médico se registran en este módulo, de igual forma se cuenta con un histórico de pacientes anteriormente registrados y la facilidad de asignación de servicios a pacientes registrados con anterioridad, siendo este un paso importante para garantizar atención médica efectiva y continuando de forma correcta con el flujo del paciente en su toma de estudios.

Modulo Caja
Módulo Agenda

El módulo de agenda se encarga de programar y organizar las citas de los pacientes, permitiendo a los profesionales de la salud registrar información básica de cada cita como la fecha y hora del estudio programado, tomando en cuenta disponibilidad de horarios evitando conflictos de programación y mejorando la productividad, manteniendo un registro histórico de citas anteriores.

Modulo Caja
Módulo Imagen

El módulo de imagen se encarga de organizar la toma de estudios médicos de cada paciente de acuerdo con las mejores prácticas recomendadas por el organismo IHE. Facilitando la toma de estudios y mejorando en tiempos de atención más eficientes, reduciendo significativamente errores en la toma de imágenes médicas, garantizando una atención más rápida y precisa gracias a la automatización de procesos.

Modulo Recepcion
Módulo Interpretación

El módulo de interpretación permite a los profesionales de la salud analizar y diagnosticar imágenes médicas, logrando llevar un registro de los estudios a interpretar previamente tomados en el módulo de imagen, integrando no solo herramientas de visualización de imágenes sino también herramientas de análisis avanzadas, llevando también un registro histórico de interpretaciones realizadas de cada paciente, lo que es esencial para un correcto seguimiento en tiempo y forma.

Modulo Caja
Módulo Administración

Este módulo funciona para gestionar eficientemente los procesos radiológicos. Con funcionalidades avanzadas para la gestión de recursos propios de nuestro sistema RIS | PACS.

Modulo Caja
Módulo de Expediente Radiológico

El módulo Expediente radiológico se centra en el almacenamiento y acceso eficiente a las imágenes médicas, así como a los informes diagnósticos realizados con anterioridad de un paciente, permitiendo a los profesionales de la salud evaluar el historial de imágenes comparar resultados y tomar mejores decisiones clínicas basadas en la condición del paciente, siendo este módulo esencial para una atención médica de calidad.

Modalidades adicionales


En ROD, nuestro compromiso va más allá de los estudios radiológicos. Ofrecemos la capacidad de llevar a cabo pruebas con una amplia gama de equipos médicos que admiten conexiones a través de la interfaz DICOM. Esto incluye:

"Tu diagnóstico en un clic"


Nuestra plataforma te permite explorar radiografías, resonancias magnéticas, tomografías y más, desde la comodidad de tu hogar o cualquier lugar donde te encuentres. Ponemos el diagnóstico en tus manos con la facilidad de acceder a tus resultados de estudios de imagen médica sin necesidad de visitas presenciales a un centro de salud.

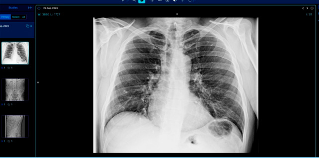
Visualizador DICOM Web

Diseñado para funcionar directamente en tu navegador web, esta herramienta garantiza una experiencia de visualización de imágenes médicas de primera clase. Desde radiografías hasta resonancias magnéticas y tomografías, nuestro Visualizador DICOM Web te permite inspeccionar tus estudios con precisión y rapidez, en cualquier lugar y momento que te convenga.

VisualizadorDICOM
Con "Resultados online", simplificamos la forma en que consigues tus estudios, aplicando las mejores tecnologías para hacer más sencilla su visualización e interpretación, unimos la tecnología, el tiempo y la sostenibilidad para ofrecer un acceso rápido y ecológico a tus estudios de imagen médica.
Tu diagnóstico, a solo un clic de distancia.